mobile background

고마운 임플란트


임플란트

임플란트

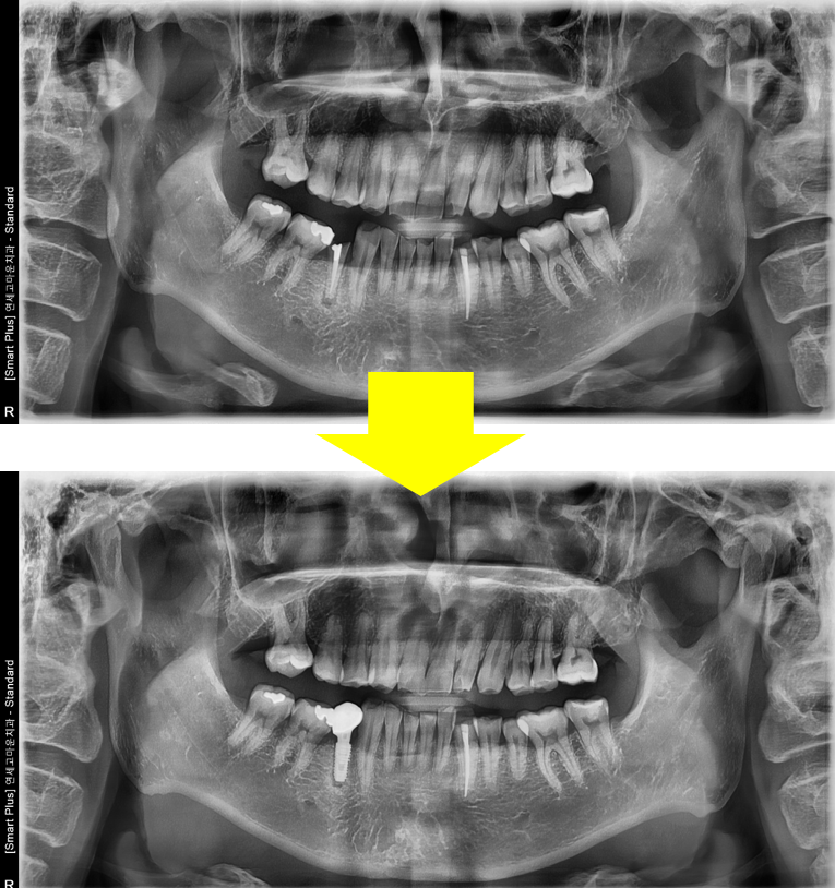
임플란트는 자연치를 대체할 수 있는 가장 좋은 술식입니다. 높은 성공률을 위해서는 많은 임상 경험과 수술 후 관리가 반드시 필요합니다. 


연세고마운치과는 풍부한 임상경력과 첨단 술식으로 안정성이 검증된 재료만 사용합니다. 첨단 장비를 사용하여 정밀하게 진단하고, 엄격하게 멸균 소독된 기구를 사용하며, 임플란트 식립에서 끝나지 않고 철저한 사후관리까지 책임집니다. 

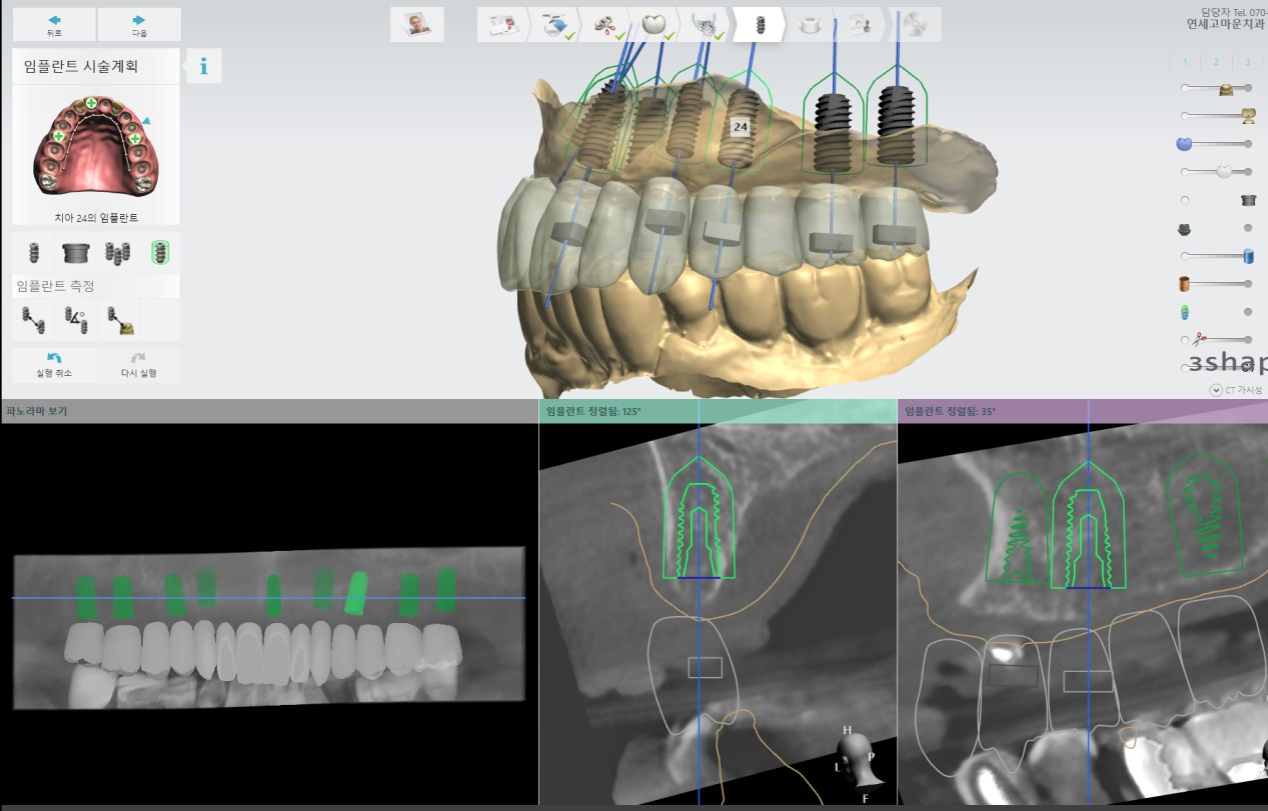
네비게이션 임플란트

네비게이션 임플란트는 절개를 하지 않는 '무절개'시술로 통증, 붓기, 출혈이 거의 없습니다. 

미리 만들어진 가이드를 따라 시술하여 수술 시간이 매우 단축됩니다. 

첨단 컴퓨터 모의 시술과 수술유도장치로 정밀하고 안전한 수술이 가능하며 신경손상의 가능성과 상악동 감염의 가능성이 매우 낮습니다. 

3D 시뮬레이션을 통해 정확한 시술부위에 정밀한 방향으로 식립이 가능하여 최상의 보철물 결과를 얻을 수 있습니다. 


이런분들께 권해드립니다. 

-치과공포증이 있으신분

-당뇨, 고혈압 등의 전신질환이 있는 고령환자 : 최소 절개 시술로 출혈이 거의 없어 통증과 붓기가 적고 회복이 빠릅니다. 

-빠른 시술을 원하시는 분 : 임플란트 식립 후 즉시 지대주 체결이 가능하므로 2차 수술 과정이 생략됩니다. 

-즉시 보철물 체결을 원하시는 분 : 3D컴퓨터 모의 시술을 통해 계획한대로 시술하여 즉시 보철물 체결이 가능합니다. 

임플란트 보험

임플란트 건강보험이란, 건강보험 공단에서 만 65세 이상 어르신을 대상으로 부위에 상관없이 평생 2개까지 임플란트 시술비용을 지원하는 제도로, 

2018년 7월 1일부터 환자 부담금이 50%에서 30%로 인하되어 확대 시행되고있습니다. 


보철수복 후 3개월 이내 횟수제한 없이 보철 재제작 및 수리비용 부담없이 진찰료만 부담됩니다. 


진료시간

월, 수             am09:30~pm20:30 (야간진료) 

화, 금             am09:30~pm18:30

토요일           am09:00~pm14:00

일요일           am10:00~pm14:00

* 점심시간  pm 13:00 ~ pm14:00  / 주말은 점심시간이 없습니다

* 목요일은 휴진입니다

상호명 : 연세고마운치과 성북점 

대표자명: 류형진

주소: 서울특별시 성북구 동소문로 304 3층 연세고마운치과


진료시간

월, 수             am09:30~pm20:30 (야간진료) 

화, 금             am09:30~pm18:30

토요일           am09:00~pm14:00

일요일           am10:00~pm14:00

* 점심시간    pm 13:00 ~ pm14:00  / 주말은 점심시간이 없습니다

* 목요일은 휴진입니다




상호명 : 연세고마운치과 성북점 

대표자명: 류형진

주소: 서울특별시 성북구 동소문로 304 3층 연세고마운치과