mobile background

심미 치료


심미치료

치아교정

치아교정이란 부정교합을 정상교합으로 바꾸어 본래의 기능을 회복하는 것입니다. 치아교정은 단순히 치아만 바로잡는 것이 아니라, 기능적인 부분을 회복하고 균형잡힌 안면을 형성하는 것입니다. 

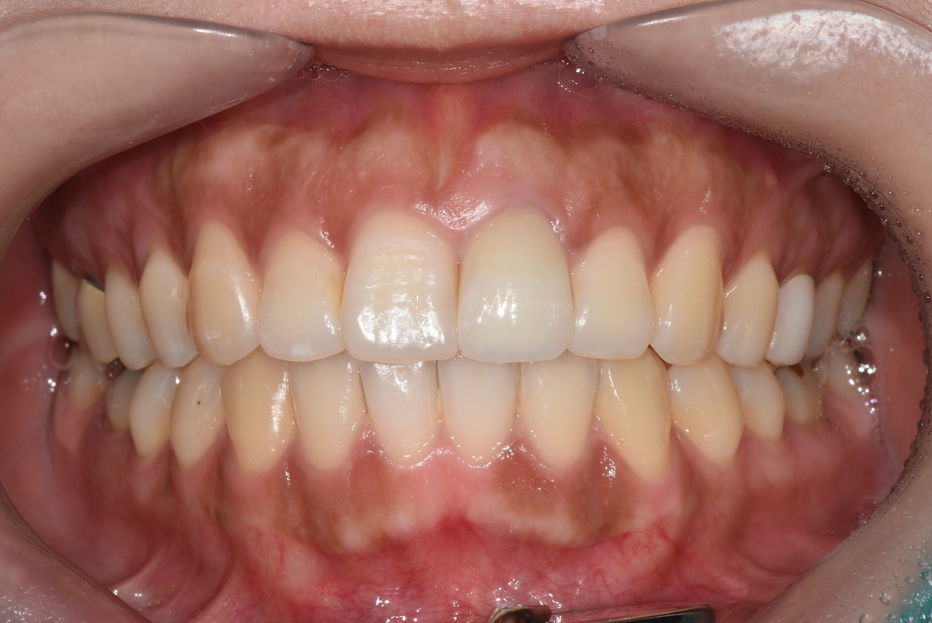
치아미백

치아미백은 치아 삭제없이 안전함을 검증받은 미백제를 사용하여 치아가 원래의 색상을 찾을 수 있도록 복구해주는 시술입니다. 

전문가 미백은 자가미백과 달리, 효과가 즉시 나타납니다. 

라미네이트

라미네이트는 치아 앞면에 얇은 세라믹을 부착해 색·모양·배열을 자연스럽게 개선하는 심미치료입니다.
 치아 삭제를 최소화하면서도 밝고 균형 잡힌 미소를 빠르게 완성할 수 있습니다.  

올세라믹 크라운

올세라믹이란 전체가 세라믹 재질로 되어 있는 보철물로, 다양한 색상의 세라믹 파우더를 켜켜이 쌓아 자연치의 모양과 색상, 질감을 표현해낼 수 있어 매우 심미적인 치아를 제작할 수 있게 합니다. 

앞니 레진

앞니 레진은 치아 색과 유사한 레진 재료로 깨짐·틈·변색을 자연스럽게 복원하는 치료입니다.
 치아 삭제를 최소화하고 당일 치료가 가능해 부담 없이 심미 개선이 가능합니다. 


진료시간

월, 수             am09:30~pm20:30 (야간진료) 

화, 금             am09:30~pm18:30

토요일           am09:00~pm14:00

일요일           am10:00~pm14:00

* 점심시간  pm 13:00 ~ pm14:00  / 주말은 점심시간이 없습니다

* 목요일은 휴진입니다

상호명 : 연세고마운치과 성북점 

대표자명: 류형진

주소: 서울특별시 성북구 동소문로 304 3층 연세고마운치과


진료시간

월, 수             am09:30~pm20:30 (야간진료) 

화, 금             am09:30~pm18:30

토요일           am09:00~pm14:00

일요일           am10:00~pm14:00

* 점심시간    pm 13:00 ~ pm14:00  / 주말은 점심시간이 없습니다

* 목요일은 휴진입니다




상호명 : 연세고마운치과 성북점 

대표자명: 류형진

주소: 서울특별시 성북구 동소문로 304 3층 연세고마운치과